|
  
Computerised & Digitalised Photo Imaging
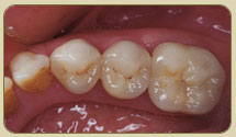
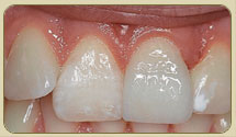
Digital photography is utilised to illustrate the results of treatment
alterations including dental bleaching and porcelain veneers. Sometimes
you need to see the difference with your own eyes.

Digital Intra-Oral Camera
If you wish, this useful tool allows you to clearly observe your dental
needs prior to treatment, in the planning phase and upon completion
of a procedure

Digital Radiology
All x-ray images including all intra-oral radiographs & panoramics
are in a digital format, viewed on a computer screen and thus requiring
less than one third of the radiation doses as compared with a conventional
X-ray film.

Equipment
All equipment and materials used in our practice are specifically chosen
for their scientific and technological superiority. We pride ourselves
on purchasing and maintaining the latest equipment available to serve
your needs

Sterilisation
To protect your health our surgery meets and exceeds all the government
standards, including sterilisation of all instruments and handpieces
by Sirona Siroclave B International standards autoclave.

|